Rwanda’s tech sector surges, emerging as a key growth driver

Rwanda’s technology sector has recorded remarkable growth, emerging as one of the country’s strongest economic drivers and signaling a new era of innovation-led development. According to data from the National Institute of Statistics of Rwanda (NISR), the Information and Communication Technology (ICT) sector grew by 19 percent in the first quarter of 2025, outperforming traditional […]
Hybrid connectivity: Rwanda leading Africa’s digital bridge

In the hills and valleys of northern Rwanda, villages once cut off from the digital world are now coming online, thanks to an innovative approach known as hybrid connectivity. By combining satellite technology with traditional fiber-optic and mobile networks, Rwanda is bringing high-speed internet to communities that previously struggled with unreliable or nonexistent connections. For […]
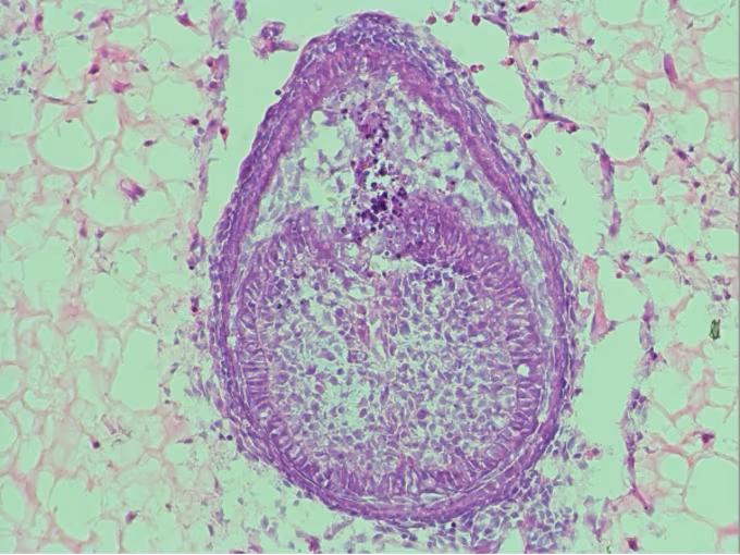
Breakthrough in regenerative dentistry moves towards growing natural replacement teeth

A revolutionary step in regenerative dentistry is bringing the prospect of growing brand-new, natural teeth closer to reality. Instead of relying on traditional fillings or invasive implants, people may one day be able to regenerate their own teeth using their body’s biology. Scientists from King’s College London and Imperial College London have achieved a breakthrough […]
Rwanda set to begin registration for new digital ID

Rwanda is preparing to launch a major milestone in its digital transformation journey, theregistration for its new national Digital ID. The National Identification Agency (NIDA)announced that the registration process will officially begin on October 28, 2025, startingwith pilot districts Nyanza, Huye, and Gisagara. During this pilot phase, which will run until November 23, 2025, more […]
Rwanda leading Africa’s AI-powered education transformation

Rwanda is positioning itself as a continental leader in using Artificial Intelligence (AI) to revolutionize its education system. The ambitious strategy, which aims to enhance personalized learning and teacher support, was unveiled at the Future of Education and Work in Africa (FEWA) AI Summit, held on October 23 at the Kigali Convention Center. The country’s plan focuses […]
Rwanda launches emergency plan to future-proof communications against disasters

The Government of Rwanda has moved to guarantee resilient communication during national emergencies by officially launching the National Emergency Telecommunication Plan (NETP) on October 20. The strategic framework, a collaborative effort between the Ministry of ICT and Innovation (MINICT) and the Ministry in Charge of Emergency Management (MINEMA), is designed to ensure that crucial information […]
Journalism students equipped to tackle misinformation with AI tools

On August 12, 2025, journalism students from Mount Kigali University (MKU) and the East African University of Rwanda (EAUR) participated in a one-day training session on Fact-Checking and Journalism AI Tools. The workshop was organized under the Rwanda Media Programme (RMP) in partnership with Fojo Media Institute. The training was facilitated by Swedish journalist and […]
Can AI spearhead a new era of youth innovation in Africa?

In a world increasingly shaped by artificial intelligence (AI), African youth are emerging not as bystanders, but as trailblazers. From Kigali to Nairobi, Lagos to Accra, and beyond, a generation of tech-savvy young Africans is harnessing the power of AI to solve pressing local problems and in doing so, redefining the continent’s narrative in the […]
How AI is changing the newsroom in Rwanda

Artificial intelligence (AI) is rapidly transforming the landscape of journalism in Rwanda, offering unprecedented opportunities for efficiency and audience engagement. However, this technological shift also presents significant challenges, including concerns about job security for journalists and the integrity of news reporting. AI is now being actively utilized in Rwandan newsrooms to accelerate content creation and […]
Civil servants begin training on data-driven decision making

In a significant step towards enhancing governance and service delivery, Rwandan civil servants have commenced a six-month training program focused on utilizing data in decision-making. This initiative follows the approval of the National Data Sharing Policy by the Rwandan Cabinet on May 26, 2025. The newly approved policy establishes a comprehensive framework for the secure […]